보건복지부 인증 교정전문의 직접 시술

얼굴 라인과 치열을 동시에 고려한 정교한 교정


당신의 미소는 단순히 치아 배열로 완성되지 않습니다. 라인핏교정은 치아의 위치 뿐 아니라 얼굴 전체의 조화와 균형까지 분석하여, 당신의 얼굴형에 가장 자연스럽게 어울리는 교정 라인을 설계합니다.


디지털 3D 스캔과 정밀 분석을 통해 불필요한 이동은 최소화하고, 필요한 변화는 섬세하게 조정합니다.


자연스러운 얼굴선과 자신감 있는 미소를 완성하는 교정입니다.

Line Fit Orthodontics
오라클 라인핏
치아교정 시술사례


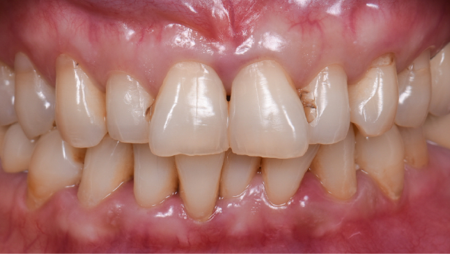
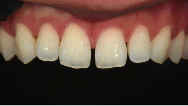
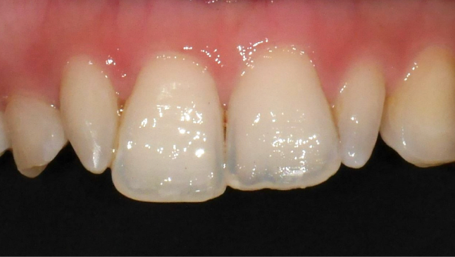
벌어짐 + 덧니

50대 여성  ㅣ  벌어짐


앞니 사이가 벌어지고 치열이 전체적으로 고르지 않아 미소가 신경 쓰여 내원하신 50대 여성분입니다. 앞니의 공간이 불규칙하게 형성되면서 음식물이 자주 끼고, 사진을 찍을 때마다 앞니가 도드라져 보인다는 점을 특히 고민하고 계셨습니다.


교정을 통해 벌어진 공간을 자연스럽게 닫고, 각 치아가 가지런히 자리할 수 있도록 정밀하게 이동을 유도했습니다. 교정 후에는 잇몸 라인까지 더 안정적으로 정리되며 전체적인 치아 조화가 회복되었고, 환자분은 웃을 때마다 보였던 빈틈이 사라져 자신감이 생겼다고 만족감을 표현한 사례입니다.

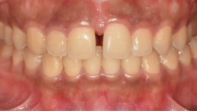
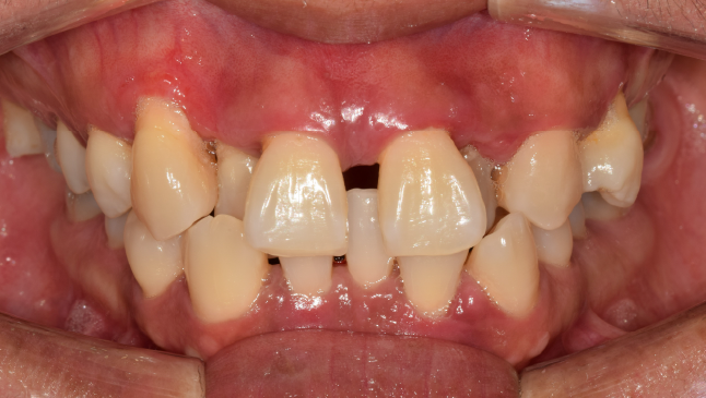
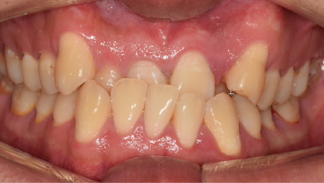
덧니 + 좌우 비대칭 

30대 여성  ㅣ 덧니(앞니 배열 비대칭) 


앞니가 서로 겹쳐 보이는 덧니 때문에 미소가 답답해 보인다는 고민으로 내원하셨습니다. 특히 좌우 앞니의 높낮이가 맞지 않아 전체적인 치아 비율이 불규칙해 보였고, 덧니로 인해 양치 시에도 불편함을 겪고 계셨습니다.


각 치아가 제자리에서 균형을 이루도록 정밀하게 이동을 계획했습니다. 교정 후 앞니의 높낮이가 자연스럽게 맞춰지며, 겹쳐 있던 부분이 해소되어 심미성과 기능 모두 개선되었습니다. 환자분은 덧니 때문에 입꼬리를 잘 못 올렸는데, 이제는 자연스럽게 웃을 수 있다고 크게 만족하신 사례입니다.

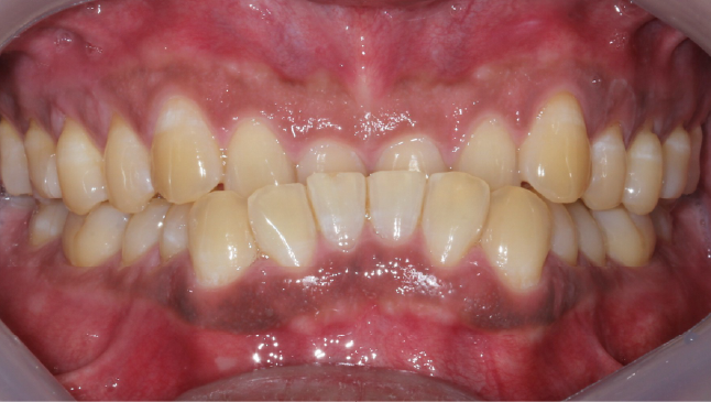
심한 불규칙 치열 

20대 남성 ㅣ 앞니 돌출 + 배열 불규칙 

앞니 배열이 제각각이라 항상 입을 다물기 어렵고, 발음할 때마다 불편함을 느껴 내원하셨습니다. 치아가 전반적으로 돌출되어 보이고 앞니의 정렬이 불규칙해 심미적 스트레스도 상당했습니다. 진단 결과, 상악 치열궁(치열의 아치 모양)이 좁고 치아들이 서로 겹치며 자리잡아 공간 확보가 필수적이었습니다.


치아의 자연스러운 형태를 최대한 유지하는 방향의 교정계획을 세워, 좁아진 치열궁을 확장하고 치아를 안정된 위치로 재배열했습니다. 교정 이후 치아가 가지런히 정돈되며 돌출된 느낌도 크게 줄어 전체적인 입모양이 자연스러워졌습니다.

과개교정

40대 여성 ㅣ 과개교합

아랫니가 거의 보이지 않을 정도로 윗니가 많이 덮어져 있어 씹을 때 불편하고 잇몸이 자주 닿아 아프다는 증상으로 내원하셨습니다. 과개교합이 오래 지속되면 치아 마모가 빨라지고 턱관절에도 부담이 갈 수 있기 때문에 세심한 진단이 필요했습니다. 


교정치료로 앞니의 각도를 개선하고, 아랫니가 자연스럽게 보일 수 있도록 교합을 열어주는 방향으로 계획했으며,치료 후에는 윗니와 아랫니의 이상적인 교합이 형성되며 잇몸 자극이 사라졌고, 치아 전체가 균형 잡힌 모습으로 자리잡았습니다.

※ 동일한 환경과 조건에서 촬영되었으며, 환자의 동의를 얻어 게재되었습니다.

※ 의료법 제56조 제 2항 7호에 따라 개인에 따라 진료 및 치료방법이 다르게 적용될 수 있고 효과와 부작용이 다르게 나타날 수 있습니다.

라인핏 교정

오라클 라인핏 교정이란
무엇인가요?

보건복지부 인증 교정전문의 직접 시술

얼굴 라인과 치열을 동시에 고려한 정교한 교정


당신의 미소는 단순히 치아 배열로 완성되지 않습니다.
라인핏교정은 치아의 위치 뿐 아니라 얼굴 전체의 조화와 균형까지 분석하여, 당신의 얼굴형에 가장 자연스럽게 어울리는 교정 라인을 설계합니다.


디지털 3D 스캔과 정밀 분석을 통해 불필요한 이동은 최소화하고, 필요한 변화는 섬세하게 조정합니다.

자연스러운 얼굴선과 자신감 있는 미소를 완성하는 교정입니다.

의정부동, 서울오라클치과병원 치아교정

이런 분들에게
추천합니다

CASE 01  돌출입

CASE 02  덧니, 치아겹침

CASE 03  주걱턱

CASE 04  벌어진 치아

CASE 05 무턱, 개방교함

CASE 06   비대칭, 교차교합

당신의 얼굴선까지 설계하는 정밀 교정 시스템

라인핏 교정 장점

정밀한 브라켓 시스템
Clippy-C, Clippy-M 자가결찰 시스템으로 마찰을 줄이고, 치아 이동을 정밀하게 조절합니다. 보다 부드럽고 안정적인 치아 이동이 가능합니다.
얼굴과 치아의 조화
라인 핏 교정은 단순히 가지런한 치열이 아니라, 입술선·턱선·얼굴 밸런스까지 고려한 맞춤 설계하며, 개인별 얼굴형에 어울리는 자연스러운 라인을 완성합니다.
기능적인 교합 중심
교정의 목적은 예쁨뿐 아니라 정상적인 교합 회복입니다. 저작, 발음, 턱관절의 기능적 밸런스를 되찾아 건강한 미소를 오래 유지할 수 있습니다.
전문 의료진의 세밀한 조정
교정 전 과정을 전문의가 직접 관리하며, 단계별로 치아 이동 속도와 교합 변화를 정밀하게 체크합니다.

얼굴 전체 밸런스를 잡는 치아교정

라인핏
치아교정
시술과정

mobile background

얼굴 전체 밸런스를 잡는
치아교정

라인핏
치아교정
진행과정


검진 및 상담을 통해 치료계획 수립

교정의 첫걸음은 정확한 진단에서 시작됩니다. 3D 스캐너, 엑스레이, 구강 촬영 등을 통해
치아 배열 · 턱뼈 구조 · 교합 상태를 세밀하게 분석하고, 개인별 문제와 목표를 파악합니다.


맞춤 교정 설계

디지털 데이터를 기반으로 치아 이동 경로와 예측 결과를 시뮬레이션합니다.  얼굴형, 입술선, 생활습관까지 고려하여  가장 자연스럽고 조화로운 맞춤 교정 플랜을 설계합니다. 


장치 제작 및 장착

교정 계획에 따라 개인 맞춤형 교정 장치를 제작합니다. 투명 교정장치, 설측(안쪽) 교정, 부분 교정 등 환자의 상태와 라이프스타일에 가장 적합한 방식으로 장착합니다. 


정기 내원 & 단계별 조정 

교정 기간 동안 정기적인 점검과 세밀한 조정을 진행합니다. 치아 이동 속도, 교합 변화, 위생 관리 상태를 주기적으로 확인하며 불편함이 최소화되도록 지속 관리합니다. 


유지 관리 & 리테이너 

교정이 끝나면, 변화된 치아 위치를 안정적으로 유지해야 합니다. 리테이너(유지장치)를 착용해 치아가 원래 자리로 돌아가지 않도록 관리하며, 이후 주기적인 검진을 통해 완성된 치열을 오래도록 유지합니다.

라인핏
치아교정 종류

라인핏
치아교정
QnA

교정은 꼭 해야 하나요?

치아가 단순히 보기 좋지 않은 문제를 넘어 충치·잇몸질환·턱관절 불균형 등의 원인이 될 수 있습니다. 교정을 통해 치아가 고르게 맞물리면, 저작 기능이 좋아지고 구강 건강도 함께 개선될 수 있습니다.

교정 기간은 얼마나 걸리나요?

교정 종류와 개인의 치아 상태에 따라 다르지만, 보통 부분 교정은 6개월 내외, 전체 교정은 1년 6개월~2년 정도 소요됩니다. 디지털 진단을 통해 예상 기간을 미리 확인할 수 있습니다.

교정 중에 통증이 심한가요?

장치 장착 후 초기에는 약간의 압박감과 불편감이 있을 수 있지만 일반적으로 3~5일 정도면 적응됩니다.최근의 라인핏교정과 같은 맞춤형 장치는 통증과 이물감이 현저히 줄어들어 교정 시 불편함을 줄일 수 있습니다.

교정 중에도 일상생활이 가능할까요?

투명교정이나 설측교정은 눈에 잘 띄지 않아 직장·학교 생활에도 부담이 없고, 음식 섭취 후 올바른 칫솔질만 유지하면 평소처럼 생활할 수 있습니다.

교정이 끝나면 다시 돌아가진 않나요?

교정 종료 후 일정 기간은 유지장치(리테이너)를 착용해야 합니다. 치아가 새로운 위치에 안정적으로 자리잡도록 돕는 과정이며, 정기 점검과 유지 관리만 잘하면, 교정 결과는 오랫동안 유지될 수 있습니다.

상호명 | 서울오라클치과병원  대표자 | 유원
주소 | 경기도 의정부시 의정부동 494, 센트럴파크 8층
대표전화 | 1551-4410 
 팩스 | 031-870-2276


Copyright © 2025 클릭투스마일 All right reserved.